外反母趾対策靴下 くつ下 ソックス
7,150円(税込)
0ポイント(1%)
商品説明
![]() | ||||||
サイズをお選び頂く際は、普段履いている靴と同じサイズを目安にしてください。 甲高・幅広の方は1サイズ上をお選びください。 | ||||||
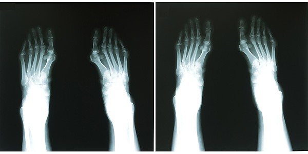
| 外反母祉対策靴下 女性の約4割が悩んでいるという外反母祉(がいはんぼし)。これを患うと前後左右の重心バランスがくずれ歩行に悪影響を引き起こしたりします。また、歩くのがおっくうになり、活動意欲も低下します。 外反母址対策靴下は、着用すると外反母祉角が減少する構造になっております。 テーピングやサポーター、矯正する器具とも違うので手軽に装着でき、長時間の着用でも違和感がありません。 また靴を着用することもできます。 共同開発をした広島大学大学院保健学研究科・浦辺幸夫教授の調査では(60歳以上の女性15名を対象)、着用2か月後には外反母祉角度の低下が認められました。 外反母祉角が減少することにより重心のバランスも改善します。 高齢者を転倒から守り、活動意欲の低下が助長する廃用性の身体機能低下も防げると期待されています。 30代女性都内、藤本クリニックにてレントゲン撮影 ![]()
●担当の医師、曰く外反母趾とは 中足骨(ちゅうそくこつ)、その上の基節骨(きせつこつ)が亜脱臼している状態とのこと。 中足骨は、ちょうど親指の付け根の丸くなっている箇所で基節骨は、写真では、その上に乗っかっております。 未着用時では、これらの位置関係が、少し外れたようになっているのがわかります。 靴下着用時は指が外に広がっていることも分かりますが、担当医師によると、専門家は中足骨と基節骨の位置関係を重視しています。 基節骨が中足骨にしっかりと乗った状態に戻っているのが分かります。 担当医師も、これは想像以上に効果のある靴下ですねと感心しておられました。 |
◎内容:広島大学大学院と共同開発の外反母趾靴下。履くだけで、親指が自然に広がります。外反母趾が楽になる足袋型の靴下。外反母趾サポーターやテーピング、矯正する器具とも違うので手軽に装着でき、長時間の着用でも違和感がありません。ご家族へのプレゼントにもおすすめ。外反母趾ソックス適応サイズ 22.0〜23.0cm、23.0〜24.0cm、24.0〜25.0cm。サイズをお選び頂く際は、普段履いている靴と同じサイズを目安にしてください。甲高・幅広の方は1サイズ上をお選びください。
■商品仕様
●商品名:外反母趾対策靴下2足組 同色サイズ
●色:ブラック・グレー・ピンク
●くつ下 材質:綿90%・ナイロン8%・ポリウレタン2%
●製造:日本製
●備考:広島大学大学院共同開発品
■商品仕様
●商品名:外反母趾対策靴下2足組 同色サイズ
●色:ブラック・グレー・ピンク
●くつ下 材質:綿90%・ナイロン8%・ポリウレタン2%
●製造:日本製
●備考:広島大学大学院共同開発品
レビュー
商品の評価:



-点(0件)












